2024-03-05T15:53:01
皮赘可能会长在阴囊上,但并不常见。阴囊上的皮赘是一种良性赘生物,一般生长的比较缓慢,呈丝状、球状或者口袋状,表面光滑,质地柔软,与皮肤颜色相同或者呈现褐色。

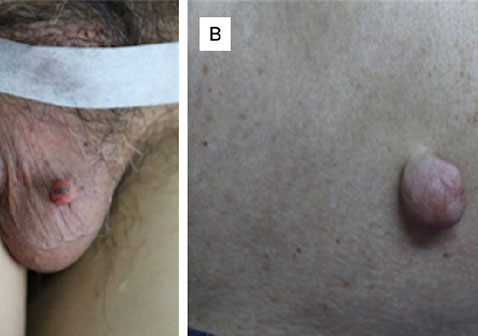
阴囊皮赘图片
皮赘,又称软纤维瘤,可以长在身体的任何部位,但是最常见的生长部位是那些皮肤与皮肤之间有摩擦的地方,比如脖子、腋下、眼睑、胸部以及腹股沟。
皮赘可能会长在阴囊上,但很罕见。阴囊是男性生殖器官的一部分,皮赘通常不会在阴囊上长出来,因为皮赘通常出现在皮肤摩擦部位或其他部位,而阴囊通常不受摩擦或外界刺激。但是,如果在阴囊上发现任何异常肿块或皮肤病变,建议及时就医进行检查,以排除其他更严重的疾病可能性。
如果阴囊上长有皮赘,可能会引起不适,特别是在走路或运动时,因为皮赘会被内裤或裤子摩擦。
阴囊上的皮赘与身体其他部位的皮赘在形态和性质上没有太大的不同。阴囊上的皮赘通常是无痛的,除非被摩擦或刺激。然而,阴囊上的皮赘可能会引起一些特殊的问题,例如,可能会被误认为是性病的症状,或者被误认为是阴囊上的其他皮肤病变,如疣、疱疹或肿瘤。
阴囊上的皮赘可能由于多种原因而发生。如果阴囊的皮肤经常会受到摩擦和压力,这可能会刺激皮肤细胞的过度生长。其次,阴囊的湿度和温度也可能促进皮赘的形成。此外,阴囊上的皮赘也可能与激素水平、遗传因素、年龄、肥胖以及某些疾病(如糖尿病和人乳头瘤病毒感染)有关。
阴囊上的皮赘如果没有引起不适,通常不需要治疗。然而,如果皮赘引起了疼痛、出血、感染或者不舒服,那么可以通过冷冻、激光治疗、电烧和手术切除等方法来去除皮赘。这些治疗方法通常都是在局部麻醉下进行的,治疗后的恢复时间通常很短。
该文章不构成医学建议。仅用于提供信息。请向医生咨询具体的治疗建议。